- Health
- Nipah Virus: જાણો કેવી રીતે ફેલાય છે, શું છે લક્ષણો અને કેવી રીતે કરી શકાય બચાવ?
Nipah Virus: જાણો કેવી રીતે ફેલાય છે, શું છે લક્ષણો અને કેવી રીતે કરી શકાય બચાવ?
કેરળના કોઝીકોડ અને માલાપુરમ જિલ્લામાં Nipah Virusના કારણે 2 અઠવાડિયામાં 11 લોકોના મૃત્યુની ખબરથી લોકોમાં ભયનો માહોલ સર્જાયો છે. પૂણે વિરોલોજી ઇન્સ્ટીટયુટે બે બ્લડ સેમ્પલની તપાસ કર્યા પછી તેમાં Nipah Virus હોવાની વાત કહી છે. કેરળના કોઝીકોડ જિલ્લામાં Nipah Virusથી ત્રણ લોકોના મૃત્યુ બાબતે તપાસ માટે કેન્દ્રીય સ્વાસ્થ્ય મંત્રી દ્વારા રચવામાં આવેલી ચિકિત્સકોની એક ઉચ્ચ સ્તરીય ટીમને ત્યાં મોકલવામાં આવી છે. મંત્રાલય દ્વારા નેશનલ સેન્ટર for ડિસીઝ કંટ્રોલ (NCDC)ના ડાયરેક્ટરના નેતૃત્વમાં એક મલ્ટી ડિસિપ્લીનરી ટીમની રચના કરવામાં આવી છે.
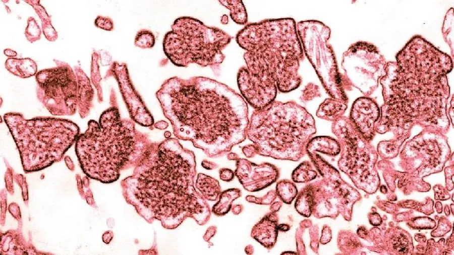
શું છે Nipah Virus (NiV)?
આ એક એવું ઇન્ફેકશન છે જે ફ્રૂટ બેટ્સ મારફતે મનુષ્યો ઉપરાંત જાનવરોને પણ પોતાનો શિકાર બનાવે છે. સૌથી પહેલાં વર્ષ 1998માં પ્રથમવાર મલેશિયાના કાપુંગ સુંગઈ નિફામાં તેના કેસ સામે આવ્યા હતા. આ ઇન્ફેકશન સૌથી પહેલાં ડુક્કરોમાં જોવા મળ્યા હતા પરંતુ પછી આ વાયરસ મનુષ્યો સુધી પણ પહોંચી ગયો. વર્ષ 2004મા બાંગ્લાદેશમાં માણસો પર Nipah Virusનો હુમલો શરુ થયો હતો.
મીડિયા રિપોર્ટ્સ અનુસાર આ Nipah Virus ખજૂરની ખેતી કરતા લોકો ફ્રૂટ બેટ્સના શિકાર બની જાય છે. આ વાયરસ ચેપી હોવાથી તે એક મનુષ્યમાંથી બીજા મનુષ્યમાં જલદી ફેલાય છે. Nipah Virusથી શરૂઆતમાં પીડિત વ્યક્તિને શ્વાસ લેવામાં તકલીફ સાથે ઇન્સેફ્લાઈટીસ જેવી સમસ્યાઓનો સામનો કરવો પડે છે. આ બીમારીથી પીડિત વ્યક્તિની ઇન્ટેન્સીવ સપોર્ટ કેર મારફતે સંભાળ લેવામાં આવે છે.
Nipah Virusના લક્ષણ:
તેનાથી પીડિત લોકોના બ્રેઈનમાં સોજો આવી જાય છે. તાવ, માથું દુખવું, ઊલટી થવી અને ચક્કર આવવા પણ આ ઇન્ફેક્શનના લક્ષણ છે. આ વાયરસથી પીડિત વ્યક્તિ કોમમાં પણ જઈ શકે છે અને તેનું મૃત્યુ પણ થઈ શકે છે. આ ઇન્ફેકશન એટલું ખતરનાક છે કે તેનાથી પીડિત વ્યક્તિ 24થી 28 કલાકમાં કોમામાં પહોંચી શકે છે.
Nipah Virusથી કેવી રીતે બચી શકાય?
આ વાયરસથી બચવા માટે રિબાવાયરીન નામની દવાનો ઉપયોગ કરવામાં આવી રહ્યો છે. આ વાયરસ એક વ્યક્તિથી બીજા વ્યક્તિમાં ઝડપથી ફેલાય છે તેથી ઇન્ફેકશનવાળા વ્યક્તિ સાથે સંપર્ક ટાળવો જોઈએ.

