- Charcha Patra
- 26 વર્ષની ભારતીય મહિલાના મોઢામાં 38 દાંતનો વર્લ્ડ રેકોર્ડ, શું વધારાના દાંત પડાવી દેવા જોઇએ?
26 વર્ષની ભારતીય મહિલાના મોઢામાં 38 દાંતનો વર્લ્ડ રેકોર્ડ, શું વધારાના દાંત પડાવી દેવા જોઇએ?
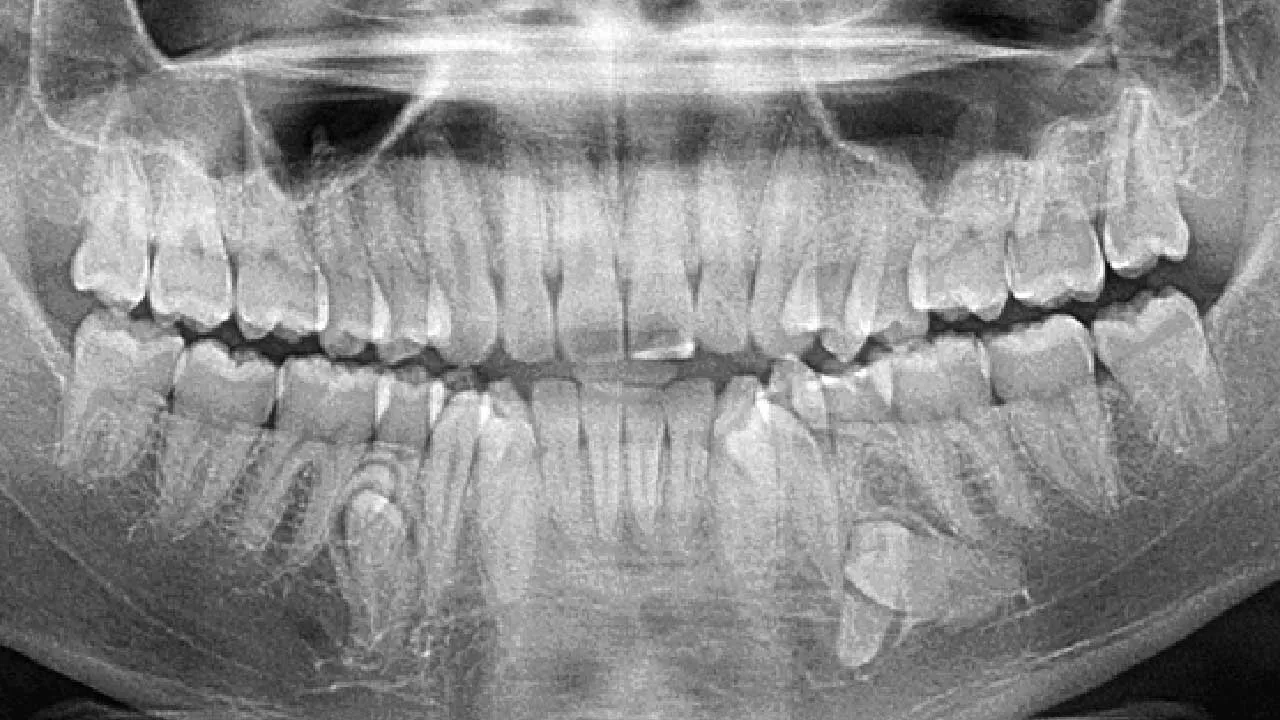
ભારતમાં એક અનોખો વિશ્વ રેકોર્ડ બન્યો છે. કલ્પના બાલન નામની 26 વર્ષની મહિલાના મોઢામાં કુલ 38 દાંત છે, જે સામાન્ય માણસ કરતાં 6 વધુ છે. આ કારણે તેમનું નામ Guinness World Records માં નોંધાયું છે. કોઇ વ્યક્તિના મોઢામાં વધારે દાંત હોય તો શું તે પડાવી દેવા જોઇએ કે રાખવામાં કોઇ વાંધો નથી.
સામાન્ય રીતે એક યુવાન વ્યક્તિના મોઢામાં 32 દાંત હોય છે. પરંતુ કલ્પના બાલનના મોઢામાં 4 વધારાના દાંત નીચેના જડબામાં અને 2 વધારાના દાંત ઉપરના જડબામાં છે. તેમના વધારાના દાંત કિશોરાવસ્થામાં ધીમે-ધીમે ઉગવા લાગ્યા હતા. તેમને ખાસ પીડા તો નથી, પરંતુ ખોરાક ખાતી વખતે ઘણીવાર ખોરાક દાંત વચ્ચે ફસાઈ જાય છે.
23.jpg)
વધારાના દાંત કેમ થાય છે?
આ સ્થિતિને Hyperdontia અથવા supernumerary teeth કહેવામાં છે. આમાં સામાન્ય કરતાં વધુ દાંત વિકસે છે. વિશ્વના લગભગ 3–4% લોકોમાં આ સમસ્યા જોવા મળે છે.
શું છે કારણો:
વધારા દાંત હોવાનો જુદા જુદા કારણો છે જેમાં દાંતના ટૂથ બડ્સનો વધારાનો વિકાસ થવો, જિનેટિક કારણ અને કેટલીક વખત ટૂથ બડ્સ બે ભાગમાં વહેંચાઈ જવાથી વધુ દાંત ઉગી આવતા હોય છે.
વધારાના દાંત રાખવા જોઈએ કે કાઢી નાખવા?
આવી બાબતમાં સામાન્ય રીતે જુદા જુદા માપદંડોથી નિર્ણય લેવામાં છે. વધારાના દાંત ક્યારે રાખી શકાય તેનો નિર્ણય એ આધારે લેવાય છે કે જો તે પીડા ન આપતા હોય તો રહેવા દઇ શકાય આ ઉપરાંત ચાવવાની પ્રક્રિયામાં અવરોધ ન કરે, અન્ય દાંતને ખસેડતા ન હોય અથવા ચેપ અથવા સડવાનું જોખમ ન હોય. જોકે, તેમણે નિયમિત ચેક-અપ કરાવવાની સલાહ આપવામાં છે.

જ્યારે કાઢવા જરૂરી
સામાન્ય રીતે દાંત કાઢવાની સલાહ ત્યારે અપાય છે જો ખોરાક ફસાવાની સમસ્યા હોય, દાંત વાંકા થવા લાગે, ચાવવાની તકલીફ થાય, ઇન્ફેક્શન અથવા સડવાનું જોખમ વધે. ઘણા કેસમાં સર્જરી દ્વારા વધારાના દાંત સરળતાથી દૂર કરી શકાય છે.
વધારાના દાંત હોવું દુર્લભ છે, પરંતુ દરેક કેસમાં તેમને કાઢી નાખવાની જરૂર નથી. જો તેઓ કોઈ સમસ્યા ન કરતા હોય તો ડોક્ટર દેખરેખ હેઠળ રાખી શકાય, પરંતુ દાંતની ગોઠવણી, સ્વચ્છતા અને આરોગ્ય માટે ઘણીવાર તેમને કાઢવાની સલાહ આપવામાં આવે છે.
About The Author
Dr. Rachana Dave Bhatt is a leading Cosmetic and Aesthetic Dentist based in Surat, with over 16 years of clinical experience. Founder of R.R. Dental n' Maxillofacial Clinic, she specializes in smile design, restorative dentistry, and dental makeovers. With a passion for creating confident smiles, Dr. Bhatt combines artistic precision with modern dental techniques to deliver personalized, high-quality care.

