- Coronavirus
- ચીનમાં કોરોના દર્દીઓના ફેફસા સફેળ થઇ રહ્યા છે, શું વુહાનવાળા વેરિયન્ટની વાપસી?
ચીનમાં કોરોના દર્દીઓના ફેફસા સફેળ થઇ રહ્યા છે, શું વુહાનવાળા વેરિયન્ટની વાપસી?
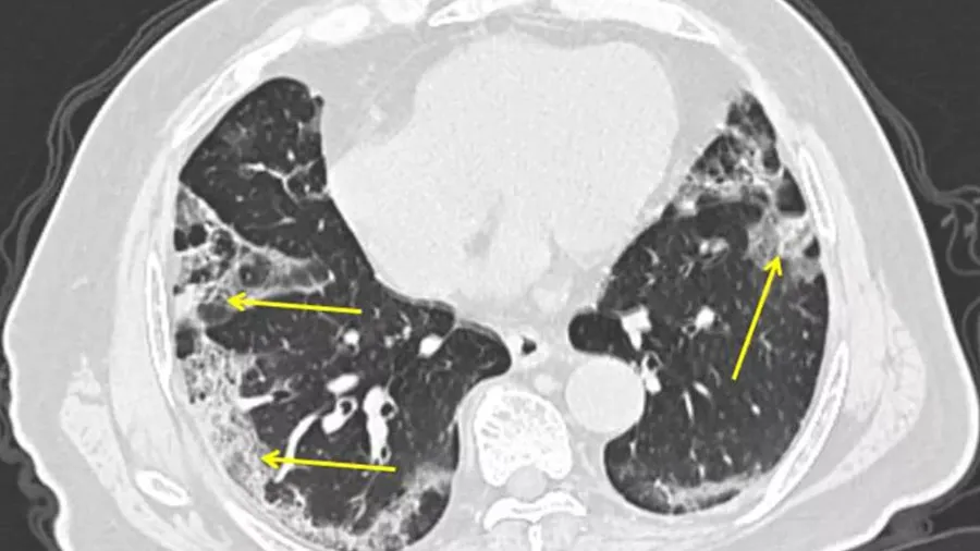
ચીનમાં કોરોનાનો પ્રકોપ હજુ યથાવત છે. ICU દર્દીઓથી ખીચોખીચ છે, ચીનની સરકાર દિવસ રાત દવાઓનું ઉત્પાદન કરીને દવાની અછત દુર કરવામાં લાગેલી છે.સરકારે આઇબુપ્રોફેન અને Acetaminophen જેવી દવાઓનું ઉત્પાદન 4 ગણું વધારી દીધું છે. પરંતુ કોરોના સામે જંગના મોર્ચા પર ચીનની મુસીબત ઘટવાનું નામ નથી લઇ રહી. દર્દીઓના સીટી સ્કેનમાં વ્હાઇટ લંગ્સના રૂપમાં ચીન સામે નવો પડકાર આવીને ઉભો રહ્યો છે.
ચીનમાં એવા સમાચાર સામે આવ્યા છે કે આ વખતે કોરોના સંક્રમિત કેટલાંક દર્દીઓમાં વ્હાઇટ લંગ્સના લક્ષણો જોવા મળ્યા છે. આ નવા અહેવાલને કારણે ચીનની ચિંતા વધી ગઇ છે. ગ્લોબલ ટાઇમ્સના અહેવાલ મુજબ ચીનના સોશિયલ મીડિયા પ્લેટફોર્મ પર કેટલીક પોસ્ટ વાયરલ થઇ ગઇ, જેમાં દાવો કરવામાં આવ્યો છે કે ઉત્તરી ચીનના હેબેઇ પ્રાંતમાં કેટલાંક કોરોના પોઝિટિવ દર્દીઓનો સીટી સ્કેન કરવામાં આવ્યા તો તેમનામાં વ્હાઇટ લંગ્સ જોવા મળ્યા. વાયરલ પોસ્ટમાં એવો દાવો કરવામાં આવ્યો છે કે વ્હાઇટ લંગ્સ મળવાનો મતલબ એ વાતનો સંકેત છે કે એ દર્દી ઓમિક્રોન વેરિયન્ટથી સંક્રમિત નથી, પરંતુ વુહાનમાં જોવા મળેલો ડેલ્ટા વેરિયન્ટથી સંક્રમિત છે. એનો મતલબ એ થાય છે કે ચીનમાં ફરી એકવાર વુહાનથી નિકળેલો જૂનો ડેલ્ટા વેરિયન્ટ લોકોને સંક્રમિત કરી રહ્યો છે.

કોરોનાનું જૂનું વેરિઅન્ટ ફરી એકવાર સક્રિય થયું છે એવા દાવાને ચીનની સરકારે ખંડન કરી દીધું છે. દર્દીઓના સીટી સ્કેનમાં સફેદ ફેફસાના લક્ષણો જોવા મળ્યા હતા તે વૃદ્ધ દર્દીઓ હતા અને તેઓ કોરોના સંક્રમણથી ખરાબ રીતે પ્રભાવિત હતા. ચાઈનીઝ સેન્ટર ફોર ડિસીઝ કંટ્રોલ એન્ડ પ્રિવેન્શન (CDC)ના ઈન્સ્ટિટ્યૂટ ઑફ વાઈરલ ડિસીઝના ડિરેક્ટર ઝુ વેન્બોએ જણાવ્યું હતું કે કોવિડ-19નું રીઅલ-ટાઇમ મોનિટરિંગ દર્શાવે છે કે ડેલ્ટા વેરિયન્ટ ચીનમાં નથી. સાથે એ પણ ખબર પડે છે કે ડેલ્ટા વેરિયન્ટ અને ઓમીક્રોન વેરિયન્ટનું રિકોમ્બિનેશન પણ થયું નથી.
ઝુ વેન્બોએ જણાવ્યું હતું કે ચીનની CDC એ ડિસેમ્બરની શરૂઆતથી અત્યાર સુધીમાં 1142 પોઝિટિવ કેસોની જીનોમ સિક્વન્સિંગ કરી છે અને જાણવા મળ્યું છે કે ચીનમાં ઓમિક્રોન વેરિઅન્ટના BA.5.2 અને BF.7 સ્ટ્રેન્સ દેશમાં મુખ્ય પીડિત છે અને આ બે વાયરસ મળીને ચીનમાં મળેલા કોરોના કેસનો 80 ટકા હિસ્સો છે.

આ સિવાય ઓમિક્રોન વેરિઅન્ટની 7 સબ-બ્રાન્ચ પણ ચીનમાં મળી આવી છે. એકંદરે, ચીન સતત એ કહેવાનો પ્રયાસ કરી રહ્યું છે કે તેના દર્દીઓમાં વ્હાઇટ લંગ્સના લક્ષણો જોવા મળ્યા નથી. ગ્લોબલ ટાઈમ્સે નિષ્ણાતોને ટાંકતા કહ્યું કે વ્હાઇટ લંગ્સ શબ્દનો હવે ઈન્ટરનેટ પર વધુ પડતો ઉપયોગ થઈ રહ્યો છે કારણ કે કેટલાક દર્દીઓને ભૂલથી વ્હાઇટ લંગ્સ કહેવામાં આવે છે, તેમ છતાં તેમના લક્ષણો એટલા ગંભીર નથી.
ચીનના નેશનલ હેલ્થ કમિશનમાં મેડિકલ પોલિસી અને એડમિનિસ્ટ્રેશનના ડેપ્યુટી હેડ જિયાઓ યાહુઈ કહે છે કે વ્હાઇટ લંગ્સ એ ન્યુમોનિયાનું વધુ ગંભીર સ્વરૂપ છે, જેમાં સફેદ ઈમેજ એરિયા દર્દીના ફેફસાના 70 થી 80 ટકા સુધી પહોંચે છે. તેમણે એમ પણ કહ્યું કે આવા લક્ષણો ધરાવતા દર્દીઓનું પ્રમાણ ખરેખર ઘણું ઓછું છે.

ચીનના તબીબોનું કહેવું છે કે ન્યુમોનિયાની શરૂઆત ખાંસી અને શરદી જેવા કોવિડ-19 લક્ષણોની સરખામણીએ 6થી 7 દિવસ પછી થઇ શકે છે. જો મોટી ઉંમરના દર્દીઓને શ્વાસ લેવામાં મુશ્કેલી હોય અથવા ઓક્સીજન લેવલ 93થી નીચે હોય તો તરત ડોકટર્સને બતાવવું સલાહ ભરેલું છે.

જ્યાં સુધી કોરોનાની વાત છે તો ચીનનો દાવો બહારની દુનિયા માટે હંમેશા શંકાના દાયરામાં રહ્યો છે. તેથી, ચીનમાં સફેદ ફેફસાના કેસ ઘણા ઓછા છે કે કેમ તે અંગે સ્પષ્ટપણે કંઈપણ કહેવું મુશ્કેલ છે, પરંતુ જો આવા કેસ આવી રહ્યા છે, તો ચીને તાત્કાલિક આવા દર્દીઓની સંપૂર્ણ તપાસ કરવી જોઈએ અને તેની માહિતી અન્ય દેશો સાથે શેર કરવી જોઈએ.

